Regionale Chemotherapie
Eine besondere der Form der auf eine tumortragende Region gezielten Behandlung (loko-regionäre Therapie) ist die sogenannte regionale Chemotherapie. Hinter diesem Sammelbegriff verstecken sich verschiedene Behandlungsformen. Die bekannteste Form ist die transarterielle Chemoembolisation (TACE), die heutzutage eine Standardbehandlung bei Leberkrebs (hepatozelluläres Karzinom, HCC) ist und sich auch bei der Behandlung von Lebermetastasen als sehr wirksam erwiesen hat.
Das Wirkprinzip der regionalen Chemotherapie besteht darin gezielt in den Tumor und das Tumorumfeld ein Chemotherapeutikum (Zytostatikum) einzubringen. Je nach betroffenem Organ und Tumorart können ergänzend noch andere Substanzen oder Partikel eingebracht werden, um die Wirksamkeit des Chemotherapeutikums noch zu verstärken. Durch den loko-regionären Applikationsmechanismus können auch größere Regionen wie z.B. das Becken oder Bauchraum in Gänze sinnvoll behandelt werden, wenn andere Lokalverfahren wie z.B. eine Ablation nicht mehr möglich sind.
Durch die lokale Gabe des Medikamentes kommt dieses am Tumor in 8 bis 100-fach höherer Dosierung an und kann lokal entsprechend effektiv wirken. Da das Medikament nicht erst durch den ganzen Körper muss, um zum Ziel zu gelangen können die Nebenwirkungen für die Patienten zumeist gering gehalten werden. Bei manchen Formen der regionalen Chemotherapie wird die Gabe des Chemotherapeutikums mit einer nachfolgenden Chemofiltration ergänzt, um möglichst viel des giftigen Medikamentes vor der Passage durch den Körper wieder aus dem Blut zu entfernen. Die bekannteste dieser Techniken ist Chemosaturation. Hier wird das Blut hinter dem Zielorgan gefiltert und dann erst wieder in die Blutbahn zurückgegeben.
Allerdings sind nicht alle Tumore für diese Art der Behandlung geeignet. Da diese Therapie regional – also bezogen auf ein Organ, eine Extremität, oder eine Körpersegment wirkt, ist diese Behandlung nicht für Patienten mit einer ausgedehnten Metastasierung im ganzen Körper geeignet. Entscheidend für den Behandlungserfolg ist die Durchblutung des Tumors (Perfusion), so ist die Wirksamkeit bei stark durchbluteten Tumoren, die über wenige Gefäße erreichbar sind besser als bei wenig durchbluteten Tumoren. Auch haben Voroperationen, Narbenbildung oder Vorbestrahlung einen Einfluss auf die Effektivität dieser Behandlungsform. Auch gibt es Tumore die besser als andere auf diese Art der Therapie ansprechen.
Die Indikation zur Anwendung einer regionalen Chemotherapie richtet sich nach dem zu erwartenden Behandlungserfolg und den bereits erfolgten Vorbehandlungen. In der Regel handelt es sich bei dieser Art der Behandlung um eine individuelle Therapie, die eine intensive Beratung im Vorfeld der Behandlung erfordert.
radiologie@med.uni-marburg.de

MRT einer inoperablen, die Harnblase infiltrierenden Metastase eines Colonkarzinoms, bei dem keine weitere systemische Therapie möglich war.

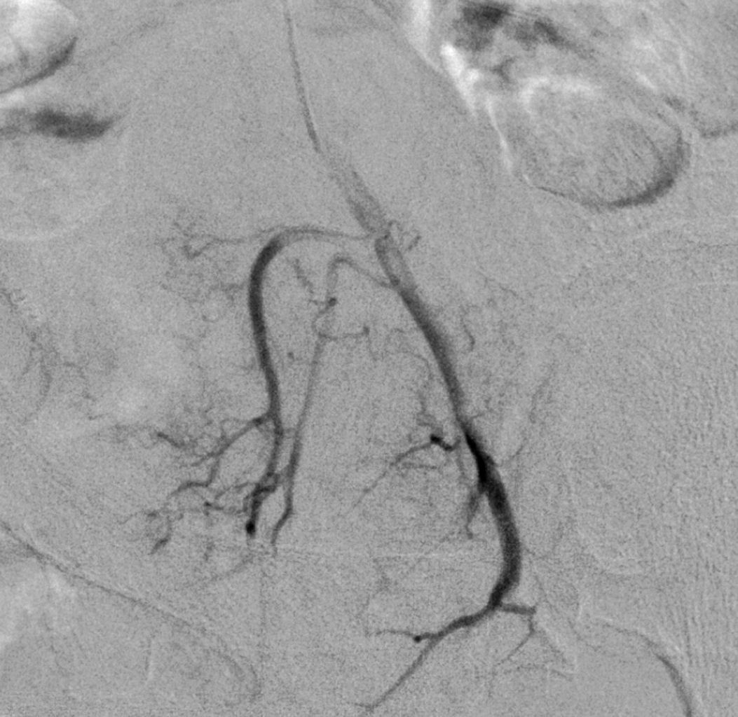
Der Tumor wird selektiv mit einem Mikrokatheter ausgesucht und lokal chemoperfundiert.

Mittels moderner intraoperativer Bildgebung wird sichergestellt, dass ausschliesslich der Tumor behandelt wird. So werden Komplikationen vermieden.

Patientin mit ausgedehnten Lebermetastasen eines Ovarialkarzinoms. Nach fünf verschiedenen Chemotherapien, lehnt die Patientin eine weitere systemische Therapie wegen der Nebenwirkungen und dem mangelnden Erfolg ab.

Die tumorversorgenden Lebergefäße werden selektiv mit einem Katheter aufgesucht.

Nach 6 Therapiezyklen sind die Lebermetastasen nach mehr als einem Jahr immer noch gut kontrolliert.