Kardiale Computertomographie
1. Kardiale Computertomographie
Die Computertomographie (CT) des Herzens führen wir am Universitätsklinikum Gießen in enger Kooperation mit der Abteilung für Radiologie täglich durch.
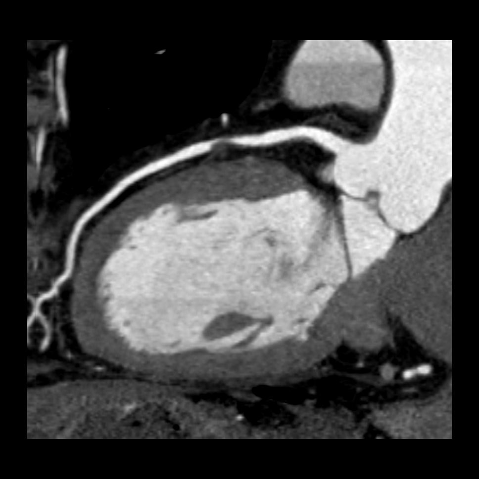
Sie hat sich als eine bedeutende Methode zur nichtinvasiven, das heisst unblutigen Darstellung der Herzkranzgefäße etabliert. Mit Hilfe der CT können bei angemessen ausgewählten und vorbereiteten Patienten mit grosser Zuverlässigkeit Aussagen über das Vorhandensein möglicher Engstellen oder Verschlüsse der Herzkranzgefässe (Abbildung 1), das Ausmass der Herzkranzgefässverkalkungen und die Anatomie des Herzens getroffen werden, und das ohne Herzkatheteruntersuchung. Sind die Herzkranzgefässe bereits erkrankt, so kann unter bestimmten Bedingungen auch eine Darstellung von Bypassgefässen (Abbildung 2) oder Stents erfolgen. Eine blutige Untersuchung mittels Herzkatheter kann somit in vielen Fällen vermieden werden (Abbildung 3). Sollten in der CT relevante Engstellen in einem oder mehreren Koronargefäßen auffallen, muss jedoch meist eine Herzkatheteruntersuchung zur weiterführenden Diagnostik und ggf. Therapie erfolgen.
2. Wie wird die CT des Herzens durchgeführt?
Vor der Untersuchung erfolgen die schriftliche Aufklärung des Patienten, entweder auf Station oder in unserer kardiologischen Ambulanz und die Anlage eines venösen Zugangs in eine Ellenbeugenvene. Anschließend wird die Herzfrequenz gemessen. Wenn notwendig, wird diese mit Hilfe eines kurz wirksamen Medikaments, eines sogenannten Betablockers, in den für die Untersuchung optimalen Bereich gesenkt (< 60/min.), wobei die Wirkung des Medikaments bereits nach wenigen Stunden abklingt.
Die CT-Untersuchung wird in einer sehr kurzen, weiten Röhre, dem Computertomographen durchgeführt und dauert weniger als zehn Minuten. Unter Verwendung von Röntgenstrahlung werden hier nach intravenöser Gabe von jodhaltigem Kontrastmittel Schnittbilder des Herzens angefertigt. Die Begutachtung und Befundung der CT-Bilder erfolgt dann gemeinsam durch ärztliche Mitarbeiter der kardiologischen sowie der radiologischen Abteilung. In der überwiegenden Zahl der Fälle wird der Patient sofort über das Resultat der Untersuchung informiert.
3. Bin ich für eine CT des Herzens geeignet? Terminvereinbarung
Nicht jeder Patient eignet sich für eine Darstellung der Herzkranzgefässe mittels CT: Die meisten Herzrhythmusstörungen sind beispielsweise ein Ausschlusskriterium. Besteht im Vorfeld der Untersuchung eine sehr grosse Wahrscheinlichkeit für das Vorliegen von Herzkranzgefässengstellen (bei sehr typischen Beschwerden und einer grossen Zahl bekannter Risikofaktoren), so führt eine CT des Herzens unter Umständen lediglich zu unnötiger Strahlenbelastung und Kontrastmittelgabe, und eine Herzkatheteruntersuchung kann nicht vermieden werden. Die Indikation für diese Untersuchung sollte daher von unserer Seite gestellt oder ggf. auch hinterfragt werden. Kontaktieren Sie uns (Dr. med. J. Rixe und Frau Dr. med. F. Hecker) unter 0641 - 985 - 42101, wir informieren Sie gerne und übernehmen auch die Planung eines Untersuchungstermins.


Abbildung 1: CT – Schnittbild (rechts) sowie dreidimensionale Rekonstruktion (links) zeigen eine hochgradige Engstelle im Bereich der linken Herzkranzarterie.

Abbildung 2: Dreidimensionale Rekonstruktion eines Patienten nach Bypassoperation

Abbildung 3: Darstellung unauffälliger Herzkranzgefäße mittels kardialer CT. Eine Herzkatheteruntersuchung ist hier nicht notwendig.