Patienteninformation Pneumothorax
Ein Pneumothorax ist ein mehr oder weniger kompletter Kollaps der Lunge aufgrund von Eintritt von Luft in den Rippenfellraum. Die Patienten verspüren in der Regel eine akute Luftnot oder plötzliche Schmerzen beim Atmen. Ursächlich kann ein Unfall sein, bei dem z.B. durch einen Rippenbruch auch das Rippenfell verletzt wird, so dass Luft von außen bzw. aus der Lunge in den Rippenfellspalt einströmen kann.
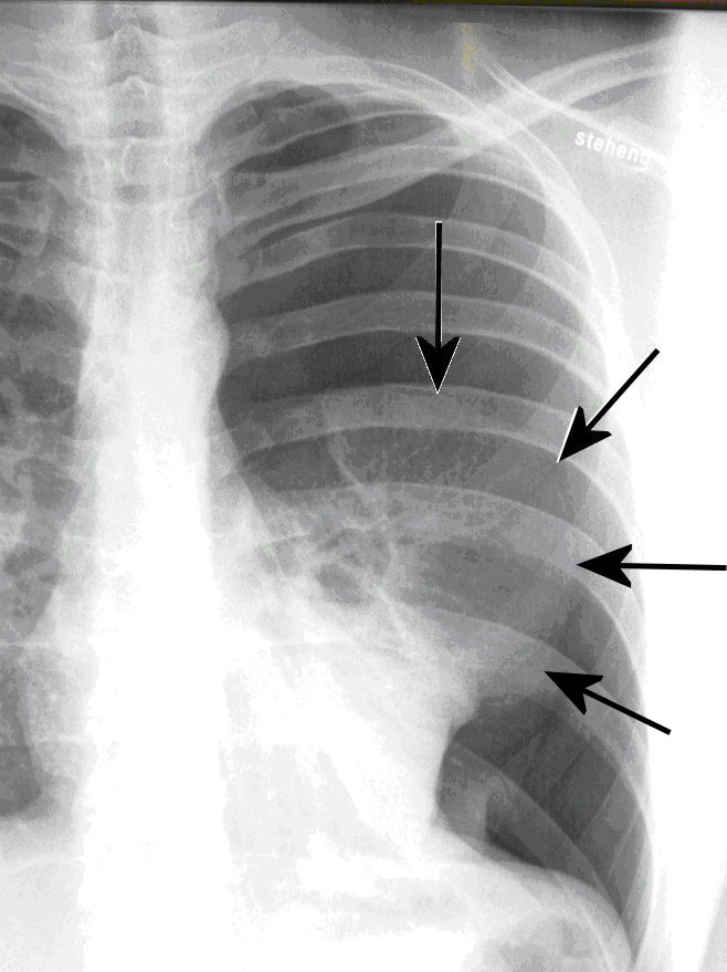
![]() |
| Abb. 1: Spontanpneumothorax (Lungenkollaps) bei einem 25-jährigen schlanken Mann (die Pfeile zeigen den Rand der kollabierten Lunge) |
Jedoch ist ein Pneumothorax auch ohne Unfall möglich. Meist sind es junge schlanke Menschen, bei denen es zum Platzen einer angeborenen kleinen Blase (Bulla) an der Lungenspitze gekommen ist, die sich dann mit plötzlicher Luftnot bei uns vorstellen. Diese Diagnose wird mit einer computertomographischen Untersuchung bestätigt und vor allem im Fall des wiederholten Auftretens der kleine Lungenteil entfernt, der diese Blase trägt (Abb. 2). Dieser Eingriff wird in unserer Klinik fast ausnahmslos minimal-invasiv, d.h. in der "Schlüsselloch-Technik" vorgenommen. Anschließend muss der Rippenfellraum für wenige Tage über einen Schlauch besaugt werden.
Eine andere Gruppe von Patienten, die wegen eines Pneumothorax bei uns behandelt werden muss, ist meist in einem höheren Lebensalter und ist in der Regel schon längere Zeit "lungenkrank". Sie haben meist eine so genanntes "Lungenemphysem bei COPD", d.h. eine Überblähung der Lunge, oft nach langjährigem Rauchen, mit Umwandlung eines Teils des Lungengewebes ebenfalls in kleine oder größere Blasen (Bullae). In diesem Fall ist oft eine Behandlungsmöglichkeit mit einer Saugdrainage oder ebenfalls mit einer minimal-invasiven Operation möglich, bei der alle blasentragenden Lungenabschnitte entfernt werden.
