Prävention
Prophylaxesprechstunde
In dieser Sprechstunde können Sie sich über Möglichkeiten zur Zahnpflege, Prophylaxe mit Fluorid und über eine zahngesunde Ernährung informieren.
Die Beratung besteht aus verschiedenen Abschnitten, aus denen wir ein auf Ihre Bedürfnisse abgestimmtes Programm zusammenstellen können.
Abschnitt 1- Zahnpflege
Zu Beginn zeigen wir Ihnen, wo Ihre Mundpflege optimiert werden kann und schauen nach, ob das Zahnfleisch gesund ist. Wir reinigen Ihre Zähne gründlich und entfernen Zahnstein und Verfärbungen. Dann empfehlen wir Ihnen die für Sie optimalen Hilfsmittel zur Zahnpflege für die Glattflächen und die Zahnzwischenräume.
Abschnitt 2- Ernährungsberatung
Hier beraten wir Sie, wie sie Ihre Ernährung zahnfreundlicher gestalten können - sei es zur Vermeidung von Karies oder aber auch um Zahnsubstanzverluste durch saure Nahrungsmittel zu verhindern.
Abschnitt 3- Fluoridierung
In diesem Abschnitt erhalten Sie Informationen über Möglichkeiten zur Fluoridbehandlung und, falls notwendig, führen wir bei Ihnen eine solche Fluoridbehandlung durch.
Neben der speziellen Beratung in den einzelnen Abschnitten zeigen wir Ihnen zu Beginn jeder Sitzung, wo noch Problemstellen sind und reinigen die Zähne nochmals gründlich.

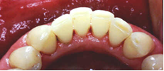
Situation nach professioneller Zahnreiningung
